procurando implante dentário? que tal uma alternativa mais em conta e sem precisar passar por cirurgia.
★★★★★


solução rápida
excelente estética
custa até 5x mais barato que um implante
Volte a sorrir com mais segurança e autoestima. Substitua um ou mais dentes perdidos, sem precisar passar por cirurgia.
veja como funciona:


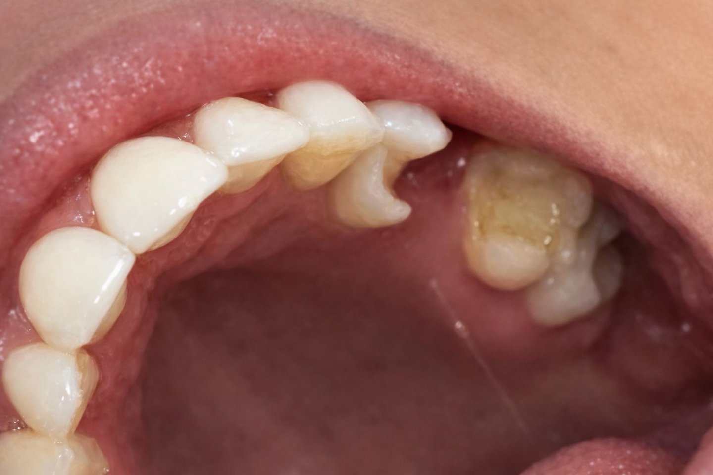
O primeiro passo é uma avaliação cuidadosa para entender a sua necessidade e definir qual material é o mais indicado para o seu caso.




Depois é realizado um pequeno preparo nos dentes ao lado da falha, para permitir a adaptação e fixação correta da prótese fixa.
Após a cimentação, a prótese é fixada de forma segura, estável e resistente, proporcionando conforto e excelente estética.
Não da pra ver que é uma prótese
Em muitos casos, a primeira opção acaba sendo extrair os dentes remanescentes e fazer uma prótese protocolo
mas veja esse resultado


A prótese protocolo é um excelente tratamento, principalmente quando o paciente já não tem mais dentes ou não pode mantê-los.
Mas, quando ainda existem dentes com possibilidade de preservação, a prótese fixa total pode ser uma solução muito melhor.
Tratamentos como esse podem ser concluídos em menos de duas semanas.


dr andré rodrigues
cirugião dentista
crogo-13860
Me formei em Odontologia pela Universidade de São Paulo, uma universidade pública que fez parte de uma trajetória construída com muito esforço e dedicação. Talvez por isso nesses meus 13 anos de atuação eu sempre tenha acreditado que a odontologia de qualidade não deve estar restrita a poucas pessoas.
Ao longo da minha formação e da minha prática, passei a valorizar muito tratamentos que unem função, conforto, estética e viabilidade. É por isso que vejo a prótese fixa sem cirurgia como uma alternativa tão importante em muitos casos: porque ela pode devolver qualidade de vida a pacientes que muitas vezes não conseguem partir para tratamentos mais complexos, como os implantes dentários.
Sempre que bem indicada, ela representa uma solução inteligente, segura e capaz de transformar o sorriso e a autoestima de forma mais acessível
Av. T-63, Qd 10 - Lt 22, n. 4193
Goiânia- setor anhanguera 74335-104
entre em contato com minha equipe:
Dr. André Rodrigues - Odontologia © Todos os Direitos Reservados 2026


localização
seguro e durável
A solução que voce estava procurando para ter seus dentes fixos de volta.